Image Credit; x

Image Credit; x

TOPICS COVERED

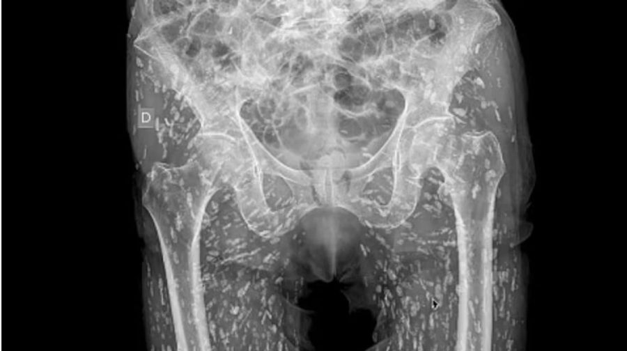
ഫ്‌ളോറിഡയിലെ എമർജൻസി ഡോക്ടറായ സാം ഗാലിയുടെ എക്സ് പോസ്റ്റ് സമൂഹമാധ്യമങ്ങളിൽ ചർച്ചയാകുന്നു.  കടുത്ത ഇടുപ്പ് വേദനയുമായെത്തിയ ഒരു യുവാവിന്റെ എക്സ്റേയിൽ കണ്ട ഞെട്ടിക്കുന്ന ദൃശ്യങ്ങൾ പങ്കുവെച്ചുകൊണ്ടായിരുന്നു ഈ പോസ്റ്റ്. 

ഇന്നുവരെ കണ്ടതില്‍ ഏറ്റവും 'ഭയാനകമായ എക്‌സറേ ദൃശ്യങ്ങള്‍' എന്നാണ് ഡോ. സാം എക്സിൽ കുറിച്ചത്. ശരിക്ക് പാകം ചെയ്യാതെ പന്നിയിറച്ചി കഴിച്ചതിലൂടെ യുവാവിന്റെ ശരീരത്തിനുള്ളിലെത്തിപ്പെട്ട നാടവിര മുട്ടയിട്ട് പെരുകിയ ദൃശ്യങ്ങളായിരുന്നു എക്സ്റേയിൽ ഉണ്ടായിരുന്നത്. 

ഏത് സാഹചര്യത്തിലായാലും ശരിയായി വേവിക്കാതെ പന്നിയിറച്ചി കഴിക്കുന്നത് അപകടകരമാണെന്ന മുന്നറിയിപ്പ് കൂടിയാണ് ഡോ. സാം ഈ പോസ്റ്റിലൂടെ നൽകുന്നത്. വേദന സഹിക്കാൻ വയ്യാതെ ആശുപത്രിയിലെത്തിയ യുവാവിന്റെ ശരീരത്തിനുള്ളിൽ ഇടുപ്പിലും കൈകാലുകളിലുമായി നാടവിരകളുടെ നൂറുകണക്കിന് മുട്ടകളാണ് കണ്ടെത്തിയത്. 

'നാടവിരകളുടെ മുട്ടകൾ യുവാവിന്റെ ശരീരത്തിനുള്ളിൽ ഏകദേശം എല്ലായിടത്തുമുണ്ടായിരുന്നു. അവ എണ്ണാനാവാത്ത വിധം പെരുകിപ്പോയിരുന്നു.  ശരീരത്തില്‍ എവിടേക്ക് വേണമെങ്കിലും ഇവയ്ക്ക് സഞ്ചരിക്കാനാവും. ഈ യുവാവിന്റെ  ഇടുപ്പുകളുടെയും കാലിന്റെയും  ഭാഗത്താണ് അവ  കൂടുതലായി അടിഞ്ഞുകൂടിയിരിക്കുന്നത്. - സാം  കുറിച്ചു. 

ഈ അവസ്ഥയെ ടെനിയ സോലിയം ഇന്‍ഫെക്ഷന്‍ എന്നാണ് അറിയപ്പെടുന്നത്. ഈ അപകടകരമായ അണുബാധ നാഡീവ്യൂഹത്തെയോ തലച്ചോറിനെയോ  ബാധിച്ചാല്‍ രോഗിയുടെ നില അപകടാവസ്ഥയിലാവും.യുവാവിനെ പ്രാഥമികമായി പരിശോധന നടത്തിയപ്പോൾ എന്താണ് ഇടുപ്പ് വേദനയുടെ കാരണമെന്ന് കണ്ടെത്താന്‍ ഡോക്ടർ‌ക്ക് കഴിഞ്ഞിരുന്നില്ല. അങ്ങനെയാണ് എക്‌സ്‌റേ വഴി കാരണം കണ്ടെത്തിയത്.

പോര്‍ച്ചുഗൽ സാവോ ജോവോ യൂണിവേഴ്‌സിറ്റ് ആശുപത്രിയിലെ ഡോക്ടർമാരാണ് യുവാവിന്റെ ഈ അവസ്ഥയെപ്പറ്റി കൂടുതൽ പഠനങ്ങൾ നടത്തിയതെന്ന് ഡോ. സാം കുറിച്ചു.  യുവാവ് ആദ്യം ചികിത്സ തേടിയത് 2021ലായിരുന്നു. 

ENGLISH SUMMARY:

X-ray revealed creatures were breeding inside man's body after common kitchen mistake. A man was left in horror after an X-ray revealed his body was riddled with tapeworm eggs.The image shows hundreds of 'rice grain' nodules that turned out to be cysts caused by the parasitic infection.Dr Sam Ghali, an urgent care doctor in Florida, shared the photo on social media describing it as one of the 'most insane X-rays' he'd ever seen.