fungus

TAGS

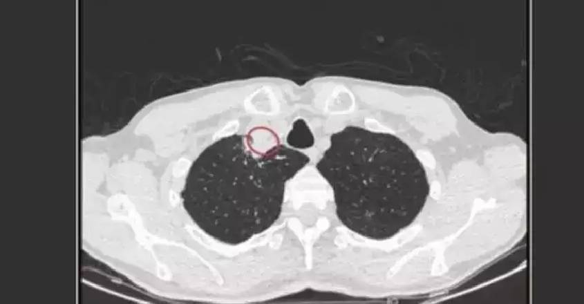
സസ്യങ്ങളെ ബാധിക്കുന്ന മാരകമായ ഫംഗസ് ബാധ ലോകത്തിലാദ്യമായി മനുഷ്യനിൽ സ്ഥിരീകരിച്ചു. കൊല്‍ക്കത്ത സ്വദേശിയായ 61കാരനാണ് ഫംഗസ്ബാധ സ്ഥിരീകരിച്ചത്.

 

കൂൺ അടക്കമുള്ള ചീയുന്ന വസ്തുക്കളിൽ പഠനം നടത്തിവരികയായിരുന്നു ഇദ്ദേഹം. തൊണ്ടയടപ്പ്, ചുമ, തളർച്ച എന്നിവയുണ്ടായ ഇദ്ദേഹത്തിന് മൂന്ന് മാസത്തോളം ഭക്ഷണം ഇറക്കാൻ സാധിക്കാത്ത അവസ്ഥയായിരുന്നു. ഏത് ഫംഗസാണ് ബാധിച്ചതെന്ന് കണ്ടെത്താൻ സാധിച്ചില്ല. ഒടുവില്‍ സി.ടി സ്‌കാനില്‍ കഴുത്തിനു താഴെയായി ശ്വാസനാളത്തില്‍ മുഴ കണ്ടെത്തി. കോൺഡ്രോസ്റ്റിറം പർപ്യുറം എന്ന ഫംഗസ് ആകാനാണ് സാധ്യതയെന്ന് കൊൽക്കത്ത അപ്പോളോ ആശുപത്രിയിലെ ഡോക്ടർമാരായ സോമ ദത്ത, ഉജ്ജയിനി റേ എന്നിവർ അറിയിച്ചു.

 

ഇലകൾക്ക് വെള്ള നിറം വരുത്തുന്ന രോഗം പടർത്തുന്ന ഫംഗസാണിത്. കൂടുതൽ പരീക്ഷണങ്ങളിലൂടെയെ ഇത് സ്ഥിരീകരിക്കാൻ സാധിക്കൂ. ചെടിയിലെ ഫംഗസ് മനുഷ്യനിൽ രോഗം ഉണ്ടാക്കുന്നത് ആദ്യത്തെ സംഭവമാണെന്നും അവർ പറഞ്ഞു. സസ്യങ്ങളില്‍ മാത്രം കണ്ടുവരുന്ന ഈ ഫംഗസ് മനുഷ്യനില്‍ സ്ഥിരീകരിക്കുന്നത് ലോകത്തിലെ തന്നെ ആദ്യ സംഭവമാണെന്ന് ഗവേഷകര്‍ പറയുന്നു. 

Kolkata man infected by killer plant Fungus in world first case